Alba Miranda

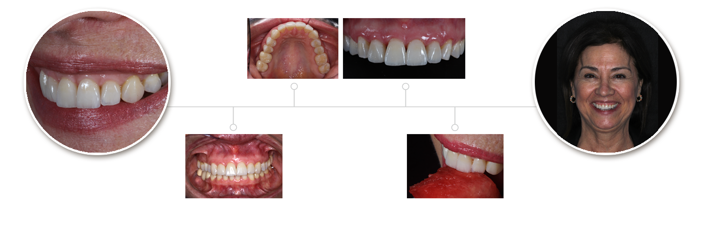
Cuando acudí a la consulta del Dr. Aldo, creí tener claro el tipo de tratamiento que deseaba para arreglar mi boca. Sin embargo desde la primera cita, a través de un proceso y diseño de sonrisa personalizado, me di cuenta que podía mejorar mi sonrisa, no solamente arreglarla.
Por medio del tratamiento conservador de Carillas, descubrí que podía volver a sonreír, sin sentir ningún complejo, mostrándome en todo momento segura y confiada de mi personalidad y de mi sonrisa
No podría estar más satisfecha, con los resultados. Realmente te cambia la vida.